CARILLAS DE PORCELANA

Mejora la forma, color y textura de tus dientes con Carillas de porcelana.

¡Transforma tu sonrisa con Carillas!

¿QUÉ SON LAS CARILLAS DE PORCELANA?

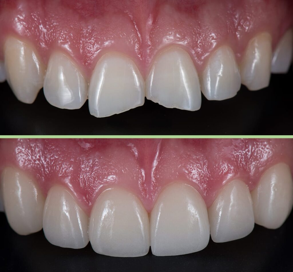
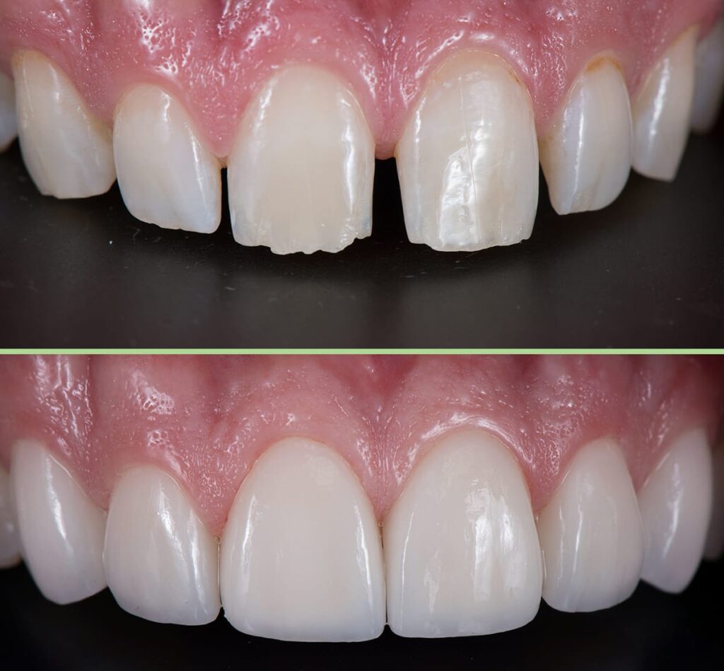
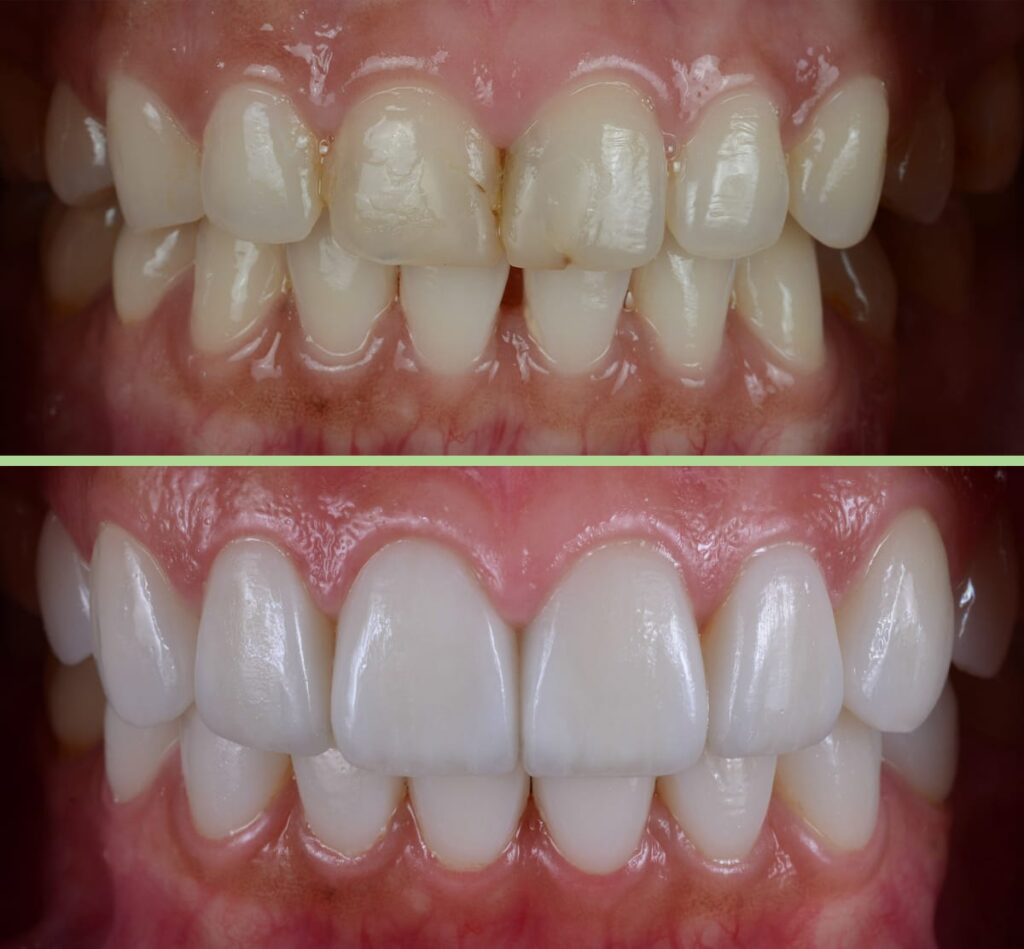
Las Carillas son una pequeña lámina de Porcelana, de entre 0.3 a 0.5 milímetros de grosor, que se coloca sobre los dientes frontales para así cambiar el color, la forma y la percepción de la posición del diente, transformando rápidamente la sonrisa. En Odontoes, puedes conseguir esta transformación tan sólo en un par de horas, gracias a nuestro sistema CEREC, Tecnología CAD/CAM”.

¿CUÁLES SON LAS VENTAJAS DE LAS CARILLAS DE PORCELANA?

1. Mejoran la apariencia de los dientes mal alineados.
2. Corrige defectos anatómicos y de color.
3. Se ven y se sienten completamente naturales.
4. Duran toda la vida (teniendo los mismos cuidados que deberías tener con tus propios dientes).
5. Ventajas sobre las Carillas de Resina: las Carillas de Porcelana tienen mayor durabilidad que las Carillas de resina (duran un par de años) y la perfección estética que se consigue con la porcelana no se puede igualar con la estética de una resina ya que esta última es un material plástico.

¿CUÁNTO DURAN LAS CARILLAS?

Las Carillas de Porcelana, teniendo los mismos cuidados que debes tener con tus dientes, duran toda la vida.
Las Carillas de Resina tienen una duración de aproximadamente 5 años, depende de los hábitos que tengas como: consumo frecuente de café, té negro, vino tinto, así como del cigarrillo.

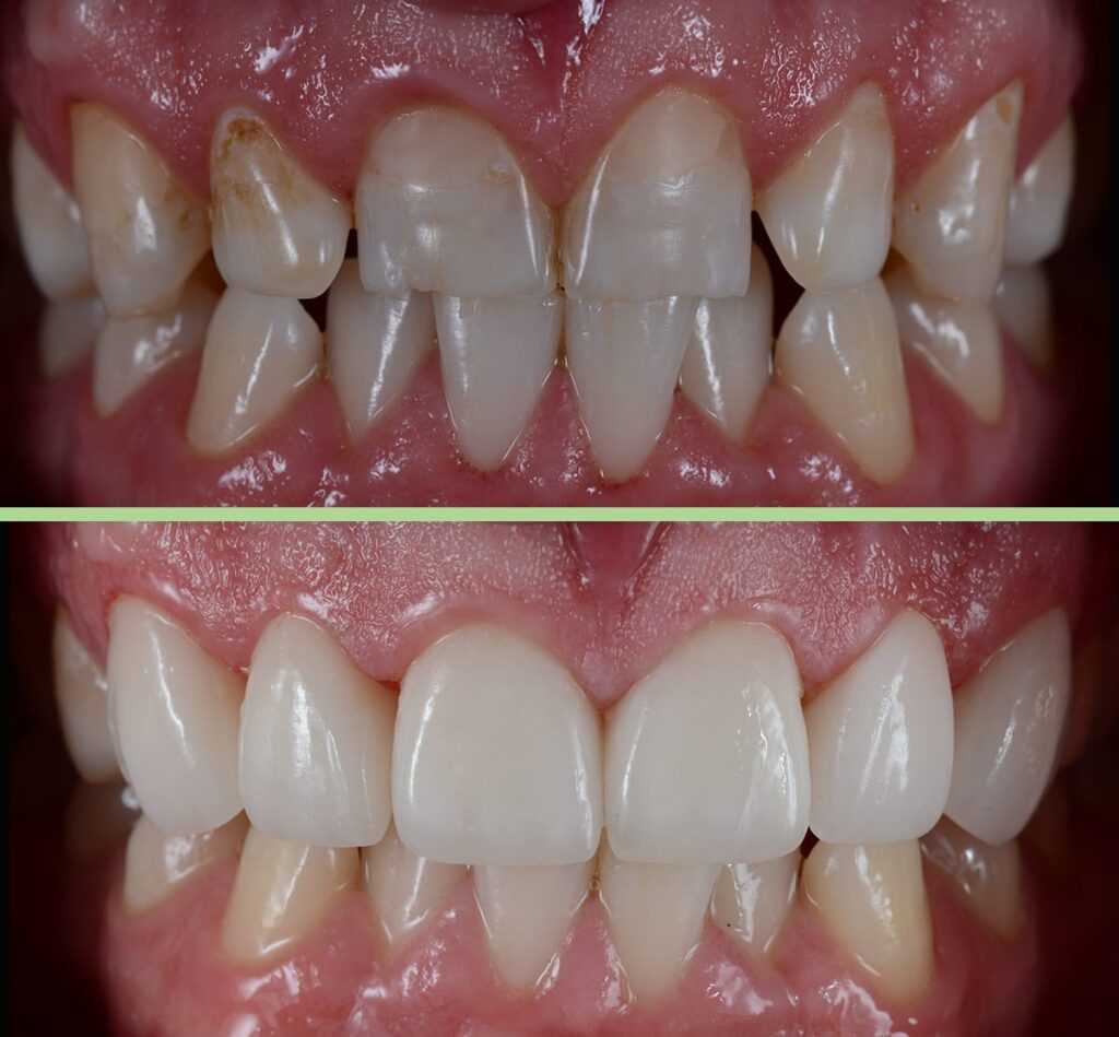
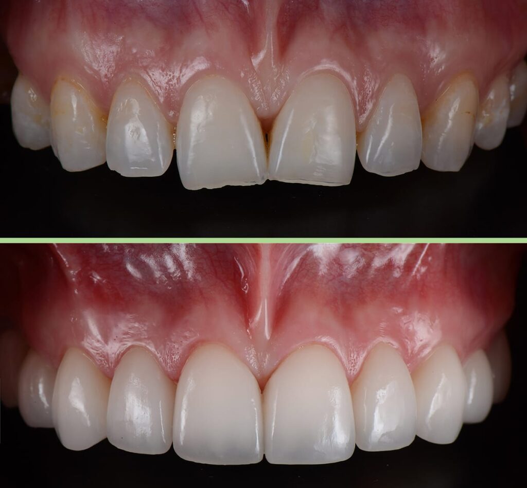
CASO DE ÉXITO

Con tan sólo 8 Carillas de Porcelana,  nuestro paciente logró tener la sonrisa que siempre quiso…¡Anímate a hacer ese cambio con nuestros especialistas en carillas dentales! 

 

Obtén información personalizada enviándonos un mensaje haciendo click en el botón de abajo.

¿POR QUÉ ELEGIRNOS PARA REALIZARTE LAS CARILLAS DE PORCELANA QUE TANTO DESEAS?

Porque nuestro Especialista en Estética, el Dr. Raúl Euán ”.cuenta con más de 20 años de experiencia y utiliza la Tecnología CAD/CAM”.